<%@ Page Language="VB" AutoEventWireup="false" CodeFile="utility_bmi.aspx.vb" Inherits="_default" %> SICOB - Società Italiana di Chirurgia dell'OBesità e delle malattie metaboliche

COVID-19: la malattia

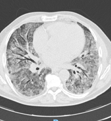
COVID-19, malattia da Coronavirus 2019, indica una sindrome simil-influenzale, trasmessa da Coronavirus (SARS-CoV2) identificata per la prima volta in Cina nella provincia di Hubei nel 2019. La malattia può manifestarsi in molte forme, da quella asintomatica o paucisintomatica ( ma il soggetto portatore è ugualmente infettante) a quella più impegnativa, caratterizzata da Insufficienza respiratoria concomitante a una risposta infiammatoria iperacuta, con un quadro di polmonite interstiziale frutto dell’evoluzione di un’iniziale sindrome influenzale.

I sintomi e i segni più comuni sono:

  • - Febbre
  • - Faringite
  • - Tosse con escreato

che progrediscono generalmente in un breve periodo (4-5 giorni) verso un quadro di maggiore gravità che deve giovarsi per la diagnosi di certezza della conferma di esami strumentali.

Sintomi di accompagnamento sono:

  • - l’anosmia (incapacità di sentire gli odori)
  • - l’ageusia (incapacità di distinguere i sapori)
  • - l’astenia (stanchezza insostenibile) e dolori articolari.
  • - più rari e incostanti, il dolore toracico, l’emottisi o la diarrea (espressione di un’infezione per via oro-fecale).

L’evoluzione più grave si ha nei casi in cui si sviluppa la polmonite interstiziale con:
riduzione degli scambi gassosi, ipossia e desaturazione d’ossigeno, espressione d’insufficienza respiratoria che può compromettere l’apparato cardiocircolatorio fino al quadro dell’insufficienza, dello shock e della morte.
Si ritiene che il 90% circa delle persone infette rimanga asintomatico (20-30%) o paucisintomatico ( ma ugualmente richiedendo in molti casi di essere ospedalizzato), il 10% evolve verso una malattia grave e il 5% verso una forma con necessità di sostegno respiratorio. Ad oggi* abbiamo in Italia 1.855.737 casi con 65.011 morti (3.5%). Il numero delle persone attualmente positive è di 675.109, di cui 28.000 circa ricoverati (4%) e 3.095 in terapia intensiva.
Tra l’insorgenza dei sintomi e il ricovero in ospedale passano in genere 5 giorni, il ricovero per i pazienti più impegnati si prolunga per 7-12 giorni, e spesso richiede un ulteriore periodo di quarantena prima che si esaurisca la capacità infettante del soggetto.

IMMAGINI RADIODIAGNOSTICHE